
PROTESI DI SPALLA
La protesi di spalla è la soluzione per chi soffre di artrosi di spalla di grado severo.

RIPARAZIONE CUFFIA DEI ROTATORI
La cuffia dei rotatori è un insieme di tendini che servono a stabilizzare dinamicamente la spalla durante i movimenti che possono lesionarsi e divenire meritevoli di riparazione chirurgica.

PROTESI DI ANCA
Le protesi di anca sono interventi chirurgici che consistono nella sostituzione dell’articolazione malata con una nuova bio-compatibile e rispettosa dell'originale bio-meccanica.

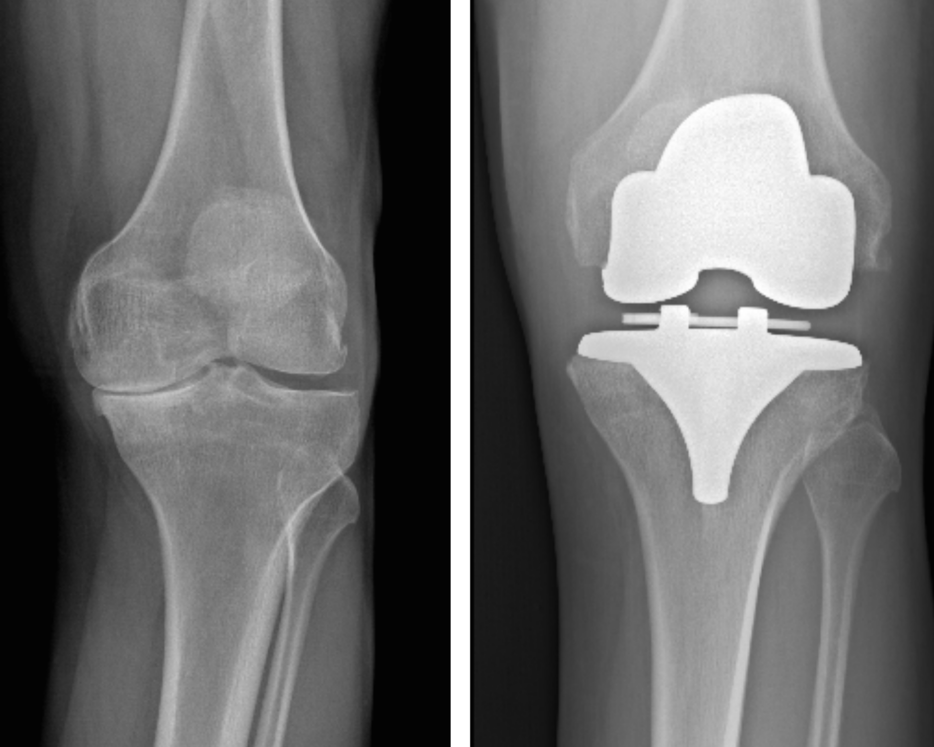
PROTESI DI GINOCCHIO
Le protesi di ginocchio sono interventi chirurgici che consistono nella sostituzione dell’articolazione con un nuovo impianto.

RICOSTRUZIONE LEGAMENTI CROCIATI
Le strutture che vanno incontro più frequentemente a lesioni e devono essere riparate sono i legamenti crociati, spesso lesionati durante l'attività sportiva calcistica.

INFILTRAZIONI ECO GUIDATE
L'infiltrazione eco-guidata è oggi un ottimo strumento di medicina rigenerativa.

PROTESI FAST TRACK
L'evoluzione dei materiali, così come delle tecniche ha accorciato notevolmente i tempi di degenza post-operatoria.

CHIRURGIA PROTESICA ROBOTICA
La precisione robotica, unita all'esperienza chirurgica può aprire nuovi orizzonti di efficienza e qualità in chirurgia protesica.